Descubre cuánto mide el saco gestacional a las 6 semanas: Todo lo que necesitas saber

1. Importancia del saco gestacional en la etapa inicial del embarazo

El saco gestacional desempeña un papel crucial en la etapa inicial del embarazo. Este saco es una estructura formada por células que se desarrolla dentro del útero después de la fertilización del óvulo. Su función principal es proteger y nutrir al embrión en sus primeras semanas de desarrollo.

Dentro del saco gestacional se encuentra el embrión en su etapa temprana, lo cual permite su crecimiento y desarrollo de manera segura. Además, el saco gestacional proporciona los nutrientes necesarios para que el embrión se desarrolle adecuadamente hasta que la placenta esté completamente formada y asuma esta función.

En esta etapa, es fundamental que el saco gestacional presente un tamaño y una forma adecuada para asegurar un embarazo saludable. Un seguimiento cuidadoso del crecimiento del saco gestacional mediante ecografías es esencial para detectar posibles anomalías o problemas en el desarrollo del embrión.

Importancia de un saco gestacional saludable:

  • Protección del embrión en las primeras etapas de desarrollo
  • Nutrición adecuada para el crecimiento del embrión
  • Prevención de posibles complicaciones durante el embarazo

En resumen, el saco gestacional desempeña un papel esencial en la etapa inicial del embarazo, brindando protección y nutrición al embrión en sus primeras semanas de desarrollo. Un seguimiento adecuado del crecimiento del saco gestacional es fundamental para asegurar un embarazo saludable y detectar posibles anomalías.

2. ¿Qué determina el tamaño del saco gestacional a las 6 semanas?

El tamaño del saco gestacional a las 6 semanas de embarazo es determinado por varios factores. En esta etapa temprana del embarazo, el tamaño del saco gestacional puede brindar información valiosa sobre el progreso del embrión.

Uno de los factores que puede influir en el tamaño del saco gestacional a las 6 semanas es la edad del embrión. A medida que el embrión se desarrolla, el saco gestacional también crece para acomodar su crecimiento. Este crecimiento es necesario para proporcionar un entorno adecuado y proteger al embrión durante las primeras etapas del embarazo.

Además, la calidad del óvulo fertilizado también puede tener un impacto en el tamaño del saco gestacional. Los óvulos de mayor calidad tienden a desarrollar sacos gestacionales más grandes, ya que tienen más recursos y pueden crecer más rápidamente.

El proceso de implantación también puede afectar el tamaño del saco gestacional. La implantación es cuando el embrión se adhiere a la pared del útero y comienza a recibir nutrientes y oxígeno de la madre. Si la implantación es exitosa, es probable que el saco gestacional tenga un tamaño adecuado a las 6 semanas.

En resumen, el tamaño del saco gestacional a las 6 semanas de embarazo puede ser influenciado por la edad del embrión, la calidad del óvulo fertilizado y el proceso de implantación. Es importante tener en cuenta que cada embarazo es único y puede haber variaciones individuales en el tamaño del saco gestacional en esta etapa temprana.

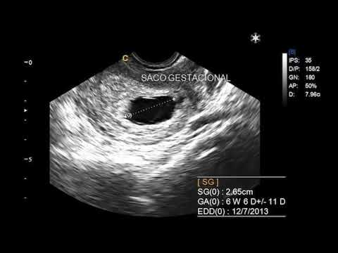
3. Medición promedio del saco gestacional a las 6 semanas

La medición promedio del saco gestacional a las 6 semanas es una información crucial para las mujeres embarazadas y sus médicos. El saco gestacional es una estructura que se forma en el útero durante las primeras etapas del embarazo y alberga al embrión en desarrollo. Conocer su tamaño y crecimiento es fundamental para monitorear el progreso del embarazo y detectar posibles complicaciones.

Según estudios y datos médicos, a las 6 semanas de gestación, el saco gestacional generalmente tiene un tamaño promedio de alrededor de 10 a 20 milímetros. Sin embargo, es importante tener en cuenta que cada embarazo es único y pueden existir variaciones en dicha medida. Por eso, la medición precisa del saco gestacional se realiza a través de ecografías transvaginales o abdominales por parte de un profesional de la salud.

El tamaño y desarrollo del saco gestacional a las 6 semanas también puede indicar si el embarazo es viable. Una medida significativamente menor o mayor a la esperada puede ser señal de un embarazo ectópico o un posible aborto espontáneo. Por esta razón, las mujeres en esta etapa del embarazo deben seguir atentamente las indicaciones médicas y realizar los controles necesarios para asegurar un embarazo saludable.

4. Relación entre el saco gestacional y la viabilidad del embarazo

El saco gestacional es una estructura que se forma durante las primeras etapas del embarazo y contiene al embrión en desarrollo. La presencia y el tamaño del saco gestacional son factores clave para evaluar la viabilidad de un embarazo. Un saco gestacional bien formado y de tamaño adecuado indica un embarazo en proceso normal, mientras que anomalías en su forma o tamaño pueden indicar posibles complicaciones.

La medición precisa del saco gestacional es crucial para determinar la viabilidad del embarazo. A través de la ecografía, los profesionales de la salud pueden medir el diámetro del saco gestacional y compararlo con las semanas de gestación para evaluar el desarrollo del embrión. Una medida consistente con la edad gestacional esperada es un buen indicador de un embarazo saludable.

Es importante tener en cuenta que un saco gestacional presente no siempre garantiza un embarazo viable. Se han documentado casos en los que, a pesar de la presencia de un saco gestacional, no se encontraba ningún embrión en desarrollo. Esto podría indicar un embarazo ectópico o una pérdida temprana del embarazo. En estos casos, se requiere una evaluación adicional para determinar la causa y planificar el tratamiento adecuado.

En resumen, la relación entre el saco gestacional y la viabilidad del embarazo es una parte fundamental de la evaluación prenatal. La medición precisa del tamaño y forma del saco gestacional a través de la ecografía proporciona información valiosa sobre el desarrollo del embrión y ayuda a identificar posibles complicaciones. Sin embargo, es necesario tener en cuenta que la presencia de un saco gestacional no garantiza necesariamente un embarazo viable, por lo que una evaluación adicional puede ser necesaria en casos atípicos.

5. Consejos para mantener un saco gestacional saludable a las 6 semanas

Consume una dieta balanceada y nutricionalmente completa

La alimentación juega un papel fundamental en la salud del saco gestacional durante las primeras semanas de embarazo. Es importante asegurarse de consumir una dieta equilibrada y variada que contenga todos los nutrientes necesarios para el desarrollo del bebé. Incluye alimentos ricos en ácido fólico, hierro, calcio y proteínas. Además, evita alimentos procesados y opta por opciones frescas y naturales.

Mantén una adecuada hidratación

El agua es vital para el correcto funcionamiento del organismo, especialmente durante el embarazo. Asegúrate de consumir la cantidad de líquido recomendada diariamente, que es aproximadamente 2 litros. Además, evita bebidas alcohólicas y con altas cantidades de cafeína, ya que pueden ser perjudiciales para el desarrollo fetal.

Realiza ejercicio moderado y seguro

El ejercicio regular durante el embarazo puede ayudar a mantener un saco gestacional saludable. Sin embargo, es importante consultar con un profesional de la salud antes de comenzar cualquier rutina de ejercicios. Opta por actividades de bajo impacto como caminar, nadar o hacer yoga prenatal. Recuerda siempre escuchar a tu cuerpo y detenerte si sientes alguna incomodidad o dolor.

Deja un comentario